Goede mondverzorging start met een regelmatig bezoek aan de tandarts. Tijdens deze controle wordt uw gebit door de tandarts gecontroleerd op gaatjes en eventuele (tandvlees)ontstekingen en het functioneren van de tanden en kiezen in uw mond. Eventueel worden er röntgenfoto’s gemaakt.
Vullingen
Als een gedeelte van uw tand verloren is gegaan of uw kies door tandbederf is beschadigd, dan kan de tandarts dit restaureren met een vulling. De vulling herstelt de functie en vaak ook de esthetiek van de tand of kies. Ook kan een vulling verdere (pijn)klachten door tandbederf ofblootliggend tandbeen (dentine ) verminderen.
Mondhygiëniste
Tandsteen kan op den duur problemen aan het tandvlees veroorzaken. Het is daarom van belang dat tandsteen wordt verwijderd. Nog beter is het om tandsteen te voorkomen. Een mondhygiënist richt zich op preventie en mondverzorging, om zo tandbederf en tandvleesaandoeningen te voorkomen én te bestrijden.
Wortelkanaalbehandeling
Onder het zichtbare gedeelte van een tand of kies (de kroon), bevindt zich de wortel. In iedere wortel bevinden zich een of meerdere wortelkanalen. Dit kanaal is gevuld met de pulpa die bestaat uit bindweefsel, zenuwvezels en kleine bloedvaten. Deze pulpa kan door tandbederf, een lekkende vulling of een val ontstoken raken en zeer doen.
Implantaten
Een implantaat is een kunstwortel, die in de kaak wordt geplaatst. De meeste implantaten zien er uit als een soort schroef en zijn gemaakt van titanium. In principe kan bij iedere volwassene een implantaat worden geplaatst. Wel is voldoende kaakbot nodig om een implantaat te kunnen plaatsen.
Parodontologie
Door een tandvleesontsteking rondom het kaakbot van de tanden en kiezen, kan het tandvlees los laten van de tanden en kiezen. In de ruimte (de pocket) die zo ontstaat tussen het tandvlees en de tanden en kiezen, vormt zich weer tandplak, waardoor de ontsteking zich nog verder in de diepte kan verplaatsen met als gevolg, botafbraak . Deze voortschrijdende tandvleesontsteking met afbraak van vezels en kaakbot heet parodontitis.
Protheses
Een uitneembare prothese (kunstgebit) is één van de meest gebruikte oplossingen voor het vervangen van ontbrekende tanden. Prothesen kunnen worden toegepast bij het ontbreken van een aantal tanden of kiezen; een partiële prothese, of bij het ontbreken van alle tanden en kiezen; een volledige prothese (kunstgebit). Vaak valt het vrijwel niet op dat iemand een prothese draagt.
Kroon- en brugwerk
Een kroon is het zichtbare deel van een tand of kies. Soms is de kroon dermate beschadigd of misvormd dat deze vervangen moet worden door een (kunst)kroon. Een brug is een manier om een ontbrekende tand of kies te vervangen. Een brug (bestaande uit een kunsttand en twee kronen) wordt verankerd aan twee aangrenzende natuurlijke tanden. De brug wordt met behulp van cement vastgezet.
Extractie
De tandarts geeft voorafgaand aan de behandeling een verdoving. Zodra deze is ingewerkt, maakt de tandarts de tand los door een draaiende of wrikkende beweging te maken. Meestal wordt de tand of kies er in zijn geheel uitgetrokken. Als de tand of kies erg vast zit, zal hij er in delen worden uitgehaald.
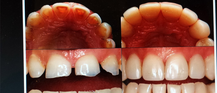
Gebitsslijtage
Bij gebitsslijtage worden de tanden en kiezen steeds korter. De korte tanden beïnvloeden de esthetiek en functie van het gebit negatief. Daarnaast kan gevoeligheid ontstaan bij de gebitselementen door het ontbreken van de beschermende glazuurlaag. Slijtage kan ontstaan door wrijving zoals bij tandenknarsen en het kauwen op voorwerpen (attritie of abrasie) of doordat zuur het tandweefsel aantast (erosie).
Kinderen
Voor kinderen is het belangrijk dat ze stapsgewijs aan de tandheelkundige behandeling kunnen wennen. Vertrouwen winnen speelt daarom een belangrijke rol. De tandarts zal dan ook duidelijke afspraken maken en zich aan deze afspraken houden.











